Friday, March 10, 2023

+25 Meningioma Histology 2023

+25 Meningioma Histology 2023. Web meningiomas are the most common primary central nervous system (cns) tumors [ 1 ]. They are the most common benign intracranial tumours and account for up to 34% of these neoplasms [ 2 ].

Pathology Outlines Meningioma
Pathology Outlines Meningioma from www.pathologyoutlines.com

Web the histological appearance of a meningioma is an important predictor of tumor behavior and is frequently a factor in decisions concerning therapy. Definitive diagnosis, including histological classification, grading, and molecular profiling, requires a surgical procedure to obtain tumour tissue. Web atypical or malignant transformation (at/mt) has been described in who grade i meningiomas.

A Total Of N = 15 Who Grade Increases.


They are usually benign, slow growing neoplasms that are thought to arise from meningothelial (arachnoid) cells (mecs) [ 1, 2, 3 ]. Web meningiomas are a diverse group of neoplasms that exhibit a wide range of morphologies and clinical behavior. Although most meningiomas are benign, their location in the central nervous system (cns) can cause serious morbidity or mortality.

Mixed Histology, Typically Containing Meningothelial And Fibrous Components Grading Unlike Other Tumors, The Term Atypical And Anaplastic/Malignant Have Been Retained As Histological Subtypes With Grade 2 And.


On account of the rarity of the published cases, there is only limited information about the histology of these meningiomas. The elimination of central chromatin is also commonly found, as well as. Web a meningioma is a tumor that arises from the meninges — the membranes that surround the brain and spinal cord.

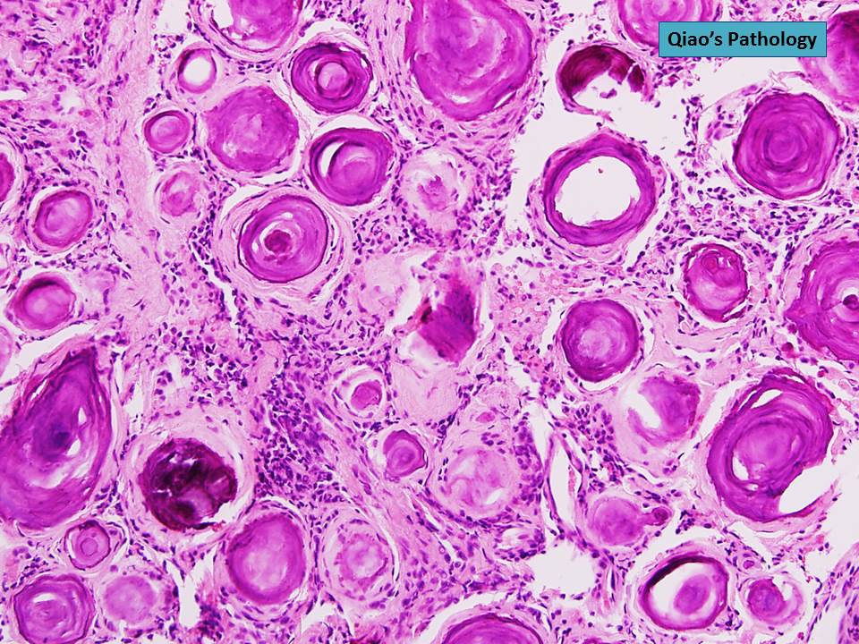
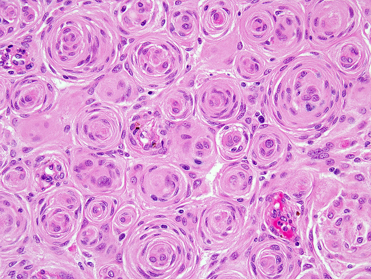
Web The Histology Of Meningioma Is Basically Characterized By Spherical Formations Of Meningothelial Cells, Which Eventually Mineralize In Psamomatous Bodies.


Definitive diagnosis, including histological classification, grading, and molecular profiling, requires a surgical procedure to obtain tumour tissue. They are generally accepted to originate from arachnoid cap cells within the leptomeninges. Web the provisional diagnosis of meningioma is mainly made by mri.

Web Meningiomas Are The Most Common Primary Neoplasm Of The Central Nervous System (Cns).


Web the histological appearance of a meningioma is an important predictor of tumor behavior and is frequently a factor in decisions concerning therapy. 23 of note, few of these variants such as secretory and angiomatous are. Web meningiomas are the most common intracranial tumor, making up more than a third of all primary central nervous system (cns) tumors.

Classic Histologic Features Include Whorl.


Web the histological appearance of a meningioma is an important predictor of tumor behavior and is frequently a factor in decisions concerning therapy. Web although recent molecular analyses revealed that sporadic meningiomas have various genetic, epigenetic, and transcriptomic profiles, meningioma in patients with neurofibromatosis type 2 (nf2) have not been fully elucidated. Yet, only few controlled clinical trials have been conducted to guide clinical decision making, resulting in variations of management approaches across countries and centers.

No comments:

Post a Comment

J Cole Gives Us a Tour of His Childhood Home

Table Of Content He lived there before moving to Forest Hills Drive. Live reviews Dreamville Films It made him feel guilty about how he chos...